Veterinary ultrasound clinical images
Diagnostic imaging plays a crucial role in veterinary medicine, offering veterinarians and pet owners a more comprehensive understanding of their animals' health conditions. By harnessing the power of ultrasound technology, we aim to improve clinical outcomes and contribute to the well-being of animals worldwide.
Impressive image quality meets a wide range of species in our veterinary ultrasound clinical images. Our ultrasound systems deliver exceptional performance across all modalities, including B-Mode, M-Mode, and Doppler imaging, ensuring stunning images are within reach for every veterinary professional.
In addition to these standard imaging modes, our ultrasound systems are equipped with multiple advanced technologies, further enhancing the diagnostic capabilities. We provide veterinarians with the tools they need to achieve precise and detailed diagnostic results.
Explore our collection of veterinary ultrasound clinical images and discover the difference superior imaging can make in veterinary diagnostics.
Filter by application
Filter by product
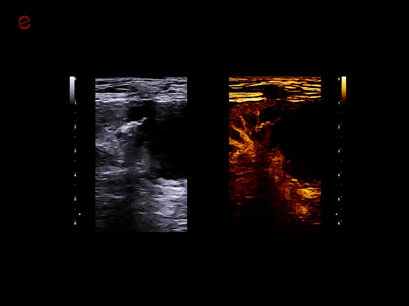
MyLab™Wolf - Equine Tendon 1
MyLab™Wolf - Equine Tendon 1
MyLab™Wolf - Equine Tendon 2
MyLab™Wolf - Equine Tendon 2
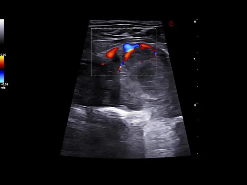
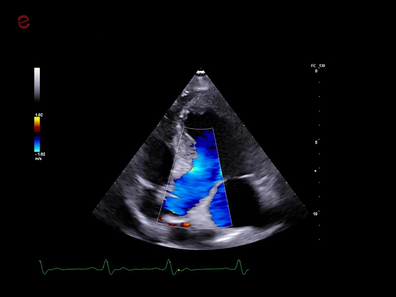
MyLab™Wolf - Aortic flow
MyLab™Wolf - Aortic flow
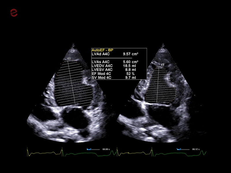
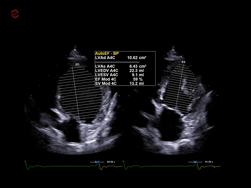
MyLab™Wolf - AutoEF
MyLab™Wolf - AutoEF
MyLab™Wolf - ElaXto
MyLab™Wolf - ElaXto
MyLab™Wolf - Feline intestine vascularization
MyLab™Wolf - Feline intestine vascularization
MyLab™Wolf - Kidney indronefrosi
MyLab™Wolf - Kidney indronefrosi
MyLab™Wolf - Liver CnTI
MyLab™Wolf - Liver CnTI
MyLab™Wolf - Mitral valve PW
MyLab™Wolf - Mitral valve PW
MyLab™Wolf - XStrain
MyLab™Wolf - XStrain
MyLab™Falcon - Equine Repro
MyLab™Falcon - Equine Repro
MyLab™Falcon - Equine Tendon
MyLab™Falcon - Equine Tendon
MyLab™Falcon - Small animals
MyLab™Falcon - Small animals
MyLab™Falcon - AutoEF
MyLab™Falcon - AutoEF
MyLab™Falcon - Intestine color flow
MyLab™Falcon - Intestine color flow
MyLab™Falcon - Kidney microV
MyLab™Falcon - Kidney microV
MyLab™Falcon - Kidney CnTI
MyLab™Falcon - Kidney CnTI
MyLab™Falcon - Mitral valve CW
MyLab™Falcon - Mitral valve CW
MyLab™Falcon - Tendon QElaXto 2D
MyLab™Falcon - Tendon QElaXto 2D
MyLab™Falcon - XStrain
MyLab™Falcon - XStrain
MyLab™Heron - Feline intestine
MyLab™Heron - Feline intestine
MyLab™Heron - Exotic turtle
MyLab™Heron - Exotic turtle
MyLab™Heron - Exotic frog
MyLab™Heron - Exotic frog
MyLab™Heron - Exotic ferret
MyLab™Heron - Exotic ferret
MyLab™Heron - Equine tendon
MyLab™Heron - Equine tendon
MyLab™Heron - Equine kidney
MyLab™Heron - Equine kidney
MyLab™Heron - Equine heart
MyLab™Heron - Equine heart
MyLab™Heron - Canine urinary
MyLab™Heron - Canine urinary
MyLab™Heron - Canine spleen
MyLab™Heron - Canine spleen
MyLab™Heron - Canine pylorus
MyLab™Heron - Canine pylorus
MyLab™Heron - Canine kidney
MyLab™Heron - Canine kidney
MyLab™Heron - Canine heart
MyLab™Heron - Canine heart
MyLab™Heron - Canine heart PW
MyLab™Heron - Canine heart PW
MyLab™Heron - Canine heart 2
MyLab™Heron - Canine heart 2
MyLab™Heron - Canine Galbladder
MyLab™Heron - Canine Galbladder
MyLab™X1 Go VET - Feline kidney
MyLab™X1 Go VET - Feline kidney
MyLab™X1 Go VET - Equine tendon
MyLab™X1 Go VET - Equine tendon
MyLab™X1 Go VET - Equine spleen
MyLab™X1 Go VET - Equine spleen
MyLab™X1 Go VET - Canine spleen
MyLab™X1 Go VET - Canine spleen
MyLab™X1 Go VET - Canine liver
MyLab™X1 Go VET - Canine liver
MyLab™X1 Go VET - Canine intestine
MyLab™X1 Go VET - Canine intestine
MyLab™X1 Go VET - Canine heart
MyLab™X1 Go VET - Canine heart
MyLab™X1 Go VET - Canine aorta
MyLab™X1 Go VET - Canine aorta
MyLab™X1 Go VET - Bovine follicle
MyLab™X1 Go VET - Bovine follicle
Q7 VET - Repro Equine
Q7 VET - Repro Equine
Q7 VET - Liver canine
Q7 VET - Liver canine
Q7 VET - Intestine Canine
Q7 VET - Intestine Canine
Q7 VET - Liver canine
Q7 VET - Liver canine
Q7 VET - Spleen Canine
Q7 VET - Spleen Canine
Q7 VET - Repro Bovine
Q7 VET - Repro Bovine
MyLab™Panther - Equine - spleen stiffness - QElaXto 2D
MyLab™Panther - Equine - spleen stiffness - QElaXto 2D
MyLab™Panther - Equine - liver stiffness - QElaXto 2D
MyLab™Panther - Equine - liver stiffness - QElaXto 2D
MyLab™Panther - Dog - left ventricle short axis - M-mode
MyLab™Panther - Dog - left ventricle short axis - M-mode
MyLab™Panther - Dog -XStrain
MyLab™Panther - Dog -XStrain
MyLab™Panther - Dog - 4-chamber apical view
MyLab™Panther - Dog - 4-chamber apical view
MyLab™Panther - Dog - quadriceps femoris
MyLab™Panther - Dog - quadriceps femoris
MyLab™Panther - Dog - spleen vascularization
MyLab™Panther - Dog - spleen vascularization
MyLab™Panther - Dog - shoulder
MyLab™Panther - Dog - shoulder
MyLab™Panther - Dog - pregnancy - fetus heartbeat
MyLab™Panther - Dog - pregnancy - fetus heartbeat
MyLab™Panther - Dog - lymph node - microV
MyLab™Panther - Dog - lymph node - microV
MyLab™Panther - Dog - liver stiffness - ElaXto
MyLab™Panther - Dog - liver stiffness - ElaXto
MyLab™Panther - Dog - liver focal lesion - CnTI
MyLab™Panther - Dog - liver focal lesion - CnTI
MyLab™Panther - Dog - kidney vascularization - microV
MyLab™Panther - Dog - kidney vascularization - microV
MyLab™Panther - Dog - kidney vascularization quantification - microV and QPack
MyLab™Panther - Dog - kidney vascularization quantification - microV and QPack
MyLab™Panther - Dog - intestine layers
MyLab™Panther - Dog - intestine layers
MyLab™Panther - Dog - AutoEF
MyLab™Panther - Dog - AutoEF
MyLab™Panther - Dog - achilles tendond stiffness - ElaXTo
MyLab™Panther - Dog - achilles tendond stiffness - ElaXTo
MyLab™Panther - Dog - 4-chamber view - TVM
MyLab™Panther - Dog - 4-chamber view - TVM
MyLab™Panther - Cat - pathological gallbladder
MyLab™Panther - Cat - pathological gallbladder
Equine kidney vascularization with directional power doppler
Equine kidney vascularization with directional power doppler
Equine kidney vascukarization with microV
Equine kidney vascukarization with microV
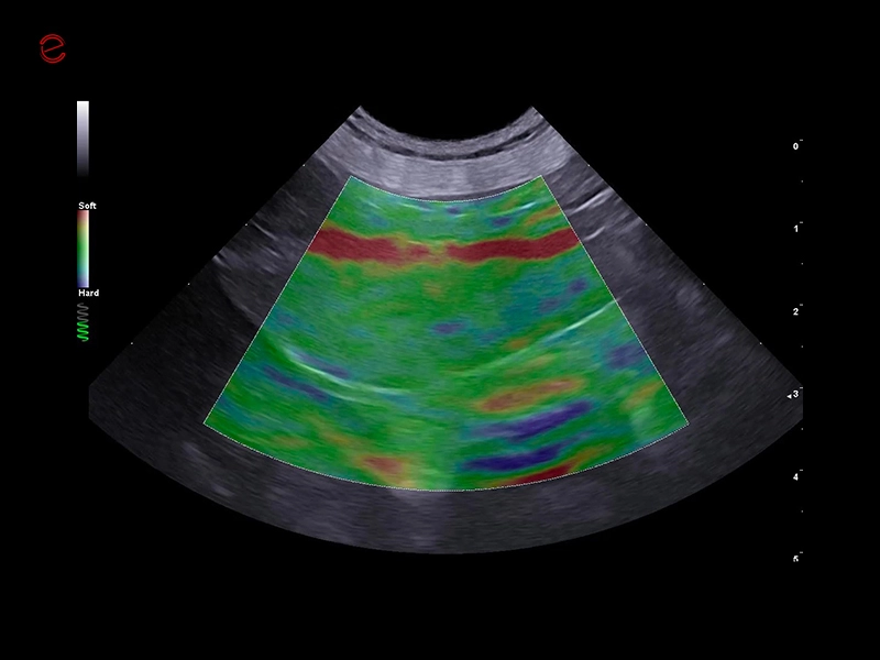
Equine tendon stiffness with ElaXto
Equine tendon stiffness with ElaXto
Equine tendon 10
Equine tendon 10
Equine tendon 9
Equine tendon 9
Equine tendon 8
Equine tendon 8
Equine tendon 7
Equine tendon 7
Equine tendon 6
Equine tendon 6
Equine tendon 5
Equine tendon 5
Equine tendon 4
Equine tendon 4
Equine tendon 3
Equine tendon 3
Equine tendon 2
Equine tendon 2
Equine tendon 1
Equine tendon 1
Equine muscles trapezoidal view with TPV
Equine muscles trapezoidal view with TPV
Equine short axis view
Equine short axis view
Equine short axis view left ventricle measurement M-mode
Equine short axis view left ventricle measurement M-mode
Equine pulmonary artery flow velocity assessment with PW
Equine pulmonary artery flow velocity assessment with PW
Equine long axis view
Equine long axis view
Equine clip CFM short axis view frame at 0m4s
Equine clip CFM short axis view frame at 0m4s
Equine XFlow
Equine XFlow
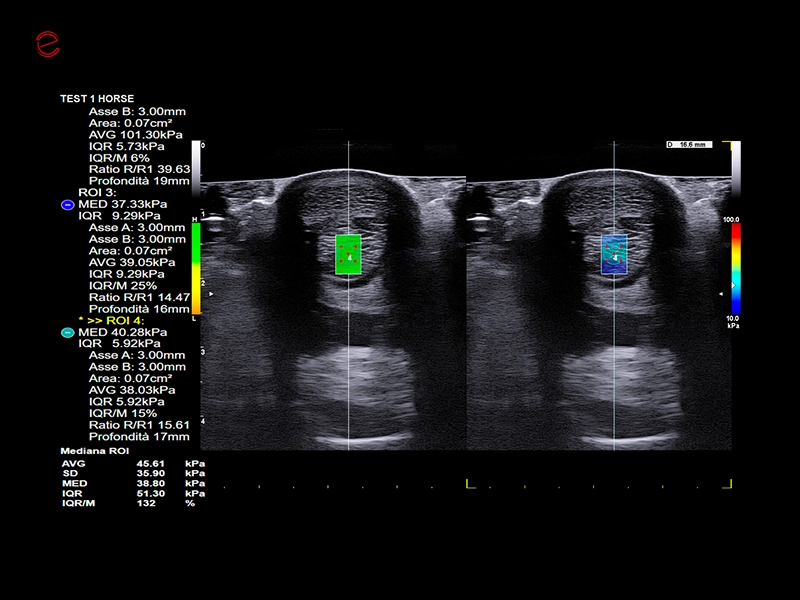
Equine spleen stiffness quantification with QElaXto
Equine spleen stiffness quantification with QElaXto
Equine spleen stiffness assessment with QElaXto 2D
Equine spleen stiffness assessment with QElaXto 2D
Equine spleen stiffness assesment with ElaXto
Equine spleen stiffness assesment with ElaXto
Equine liver
Equine liver
MyLab™X1VET - Bovine - fetus
MyLab™X1VET - Bovine - fetus
MyLab™X5VET - Cat - artery flow with PW
MyLab™X5VET - Cat - artery flow with PW
MyLab™X5VET - Dog - small bowel
MyLab™X5VET - Dog - small bowel
MyLab™X5VET - Cat - kidney cysts
MyLab™X5VET - Cat - kidney cysts
MyLab™X75VET - Dog - neolpasia with Trapezoidal View (TPV)
MyLab™X75VET - Dog - neolpasia with Trapezoidal View (TPV)
MyLab™X75VET - Dog - short axis view with CFM
MyLab™X75VET - Dog - short axis view with CFM
MyLab™X75VET - Dog - liver vascularization
MyLab™X75VET - Dog - liver vascularization
MyLab™X75VET - Dog - kidney vascularization with microV
MyLab™X75VET - Dog - kidney vascularization with microV
MyLab™X75VET - Dog - intestinal tract
MyLab™X75VET - Dog - intestinal tract
MyLab™X75VET - Dog - TDI study with TVM
MyLab™X75VET - Dog - TDI study with TVM
MyLab™X8VET - Dog - bladder wall
MyLab™X8VET - Dog - bladder wall
MyLab™X8VET - Dog - liver vessels with XFlow
MyLab™X8VET - Dog - liver vessels with XFlow
MyLab™X8VET - Dog - leg muscles assessment with ElaXto
MyLab™X8VET - Dog - leg muscles assessment with ElaXto
MyLab™X8VET - Dog - needle enhancement
MyLab™X8VET - Dog - needle enhancement
MyLab™X8VET - Dog - strain calculation with XStrain™
MyLab™X8VET - Dog - strain calculation with XStrain™
MyLab™X90VET - Dog - AutoEF
MyLab™X90VET - Dog - AutoEF
MyLab™X90VET - Dog - CEUS with CnTI™
MyLab™X90VET - Dog - CEUS with CnTI™
MyLab™X90VET - Snake
MyLab™X90VET - Snake
MyLab™X90VET - Dog - heart vortes assessment with HyperDoppler
MyLab™X90VET - Dog - heart vortes assessment with HyperDoppler
MyLab™X90VET - Dog - kidney vascularization with microV
MyLab™X90VET - Dog - kidney vascularization with microV
MyLab™X90VET - Dog - needle enhancement
MyLab™X90VET - Dog - needle enhancement
MyLab™X90VET - Equine - speel stifness assessment with QElaXto 2D
MyLab™X90VET - Equine - speel stifness assessment with QElaXto 2D
MyLab™X90VET - Dog - left ventricle wall motion assessment with XStrain™
MyLab™X90VET - Dog - left ventricle wall motion assessment with XStrain™
MyLab™X90VET - Dog - skull thickness
MyLab™X90VET - Dog - skull thickness
MyLab™9VET - Cat - hemopericardium
MyLab™9VET - Cat - hemopericardium
MyLab™9VET - Dog - short axis view - M-mode
MyLab™9VET - Dog - short axis view - M-mode
MyLab™9VET - Cat - pregnancy
MyLab™9VET - Cat - pregnancy
MyLab™9VET - Dog - CEUS with CnTI™
MyLab™9VET - Dog - CEUS with CnTI™
MyLab™FOX - Dog - pregnancy
MyLab™FOX - Dog - pregnancy
MyLab™FOX - Dog - spleen focal lesions
MyLab™FOX - Dog - spleen focal lesions
MyLab™FOX - Dog - parenchymatous organ vascularization
MyLab™FOX - Dog - parenchymatous organ vascularization
MyLab™FOX - Dog - aberrant vascularization of a lymph node in a dog affected by lymphoma
MyLab™FOX - Dog - aberrant vascularization of a lymph node in a dog affected by lymphoma
MyLab™FOX - Dog - vascularization with microV
MyLab™FOX - Dog - vascularization with microV
MyLab™FOX - Dog - urinary bladder catheterization
MyLab™FOX - Dog - urinary bladder catheterization
MyLab™FOX - Dog - liver cysts
MyLab™FOX - Dog - liver cysts
MyLab™FOX - Dog - kidney vascularization
MyLab™FOX - Dog - kidney vascularization
MyLab™FOX - Dog - mitral valve flow with CW
MyLab™FOX - Dog - mitral valve flow with CW
MyLab™FOX - Dog - mitral valve regurgitation flow
MyLab™FOX - Dog - mitral valve regurgitation flow
MyLab™FOX - Dog - heart wall motion study with TVM
MyLab™FOX - Dog - heart wall motion study with TVM
MyLab™FOX - Dog - left ventricle wall motion study XStrain
MyLab™FOX - Dog - left ventricle wall motion study XStrain
MyLab™FOX - Dog - encrusted cystitis
MyLab™FOX - Dog - encrusted cystitis
MyLab™FOX - Dog - left ventricle dimension, short axis view, papillary muscles level
MyLab™FOX - Dog - left ventricle dimension, short axis view, papillary muscles level
MyLab™FOX - Dog - cardiac tamponade
MyLab™FOX - Dog - cardiac tamponade
MyLab™Omega eXP VET - Dog - Auto EF
MyLab™Omega eXP VET - Dog - Auto EF
MyLab™Omega eXP VET - Dog - pulmonary valve regurgitation
MyLab™Omega eXP VET - Dog - pulmonary valve regurgitation
MyLab™Omega eXP VET - Dog - CEUS with CnTI™ and Qpack
MyLab™Omega eXP VET - Dog - CEUS with CnTI™ and Qpack
MyLab™Omega eXP VET - Dog - spleen elastosonography with ElaXto
MyLab™Omega eXP VET - Dog - spleen elastosonography with ElaXto
MyLab™Omega eXP VET - Dog - testis vascularization with microV
MyLab™Omega eXP VET - Dog - testis vascularization with microV
MyLab™Omega eXP VET - Dog - liver vascularization with microV
MyLab™Omega eXP VET - Dog - liver vascularization with microV
MyLab™Omega eXP VET - Dog - needle enhancement
MyLab™Omega eXP VET - Dog - needle enhancement
MyLab™Omega eXP VET - Dog - TDI analysis with TVM
MyLab™Omega eXP VET - Dog - TDI analysis with TVM
MyLab™Omega eXP VET - Dog - heart wall motion study with XStrain™
MyLab™Omega eXP VET - Dog - heart wall motion study with XStrain™
MyLab™Omega eXP VET - Dog - intestinal layering measurement
MyLab™Omega eXP VET - Dog - intestinal layering measurement
MyLab™Omega VET - Equine - dual mode ovary vascularization with microV
MyLab™Omega VET - Equine - dual mode ovary vascularization with microV
MyLab™Omega VET - Dog - prostate
MyLab™Omega VET - Dog - prostate
MyLab™Omega VET - Equine - ovary
MyLab™Omega VET - Equine - ovary
MyLab™Omega VET - Dog - left kidney sagittal
MyLab™Omega VET - Dog - left kidney sagittal
MyLab™Omega VET - Dog - hepatic cysts
MyLab™Omega VET - Dog - hepatic cysts
MyLab™Omega VET - Dog - kidney vascularization with microV
MyLab™Omega VET - Dog - kidney vascularization with microV
MyLab™SigmaVET - Cat - left kidney
MyLab™SigmaVET - Cat - left kidney
MyLab™SigmaVET - Equine - digital tendons
MyLab™SigmaVET - Equine - digital tendons
MyLab™SigmaVET - Dog - intestinal tract
MyLab™SigmaVET - Dog - intestinal tract
MyLab™X1VET - Cat - intestinal tract
MyLab™X1VET - Cat - intestinal tract
MyLab™X1VET - Equine - tendon
MyLab™X1VET - Equine - tendon
MyLab™X1VET - Dog - long axis 4 chamber view
MyLab™X1VET - Dog - long axis 4 chamber view
MyLab™X1VET - Equine - tendon longitudinal view
MyLab™X1VET - Equine - tendon longitudinal view
MyLab™X1VET - Equine- liver microvascularization
MyLab™X1VET - Equine- liver microvascularization
MyLab™X1VET - Dog - kidney vascularization
MyLab™X1VET - Dog - kidney vascularization
MyLab™X1VET - Equine - spleen and kidney
MyLab™X1VET - Equine - spleen and kidney
MyLab™X1VET - Bovine - fetus heartbeat
MyLab™X1VET - Bovine - fetus heartbeat
MyLab™X1VET - Dog - short axis view with CFM
MyLab™X1VET - Dog - short axis view with CFM
MyLab™X1VET - Equine - tendon
MyLab™X1VET - Equine - tendon
MyLab™X1VET - Dog - big vassels vascularization
MyLab™X1VET - Dog - big vassels vascularization
Need help or support?
Do you need help choosing a product, do you want to request a maintenance service or contact the sales network? Our team is at your disposal for any type of support.