Nuovo sistema RM Magnifico Vet
Risonanza magnetica
Magnifico Vet

Sistema di RM veterinaria aperto e orientato al cliente

Magnifico Vet è il nuovo sistema aperto di RM veterinaria di Esaote, progettato appositamente per soddisfare le esigenze dei professionisti veterinari. Questo sistema unico coniuga innovazione e convenienza, unendo la tecnologia ecologica dei magneti a una progettazione sostenibile per creare una soluzione di imaging economica e semplice da usare. Grazie alle sue funzioni avanzate e all'ottimizzazione del costo per esame, Magnifico Vet offre un valore ineguagliabile agli studi veterinari che cercano qualità diagnostiche di alto livello.

Portate le vostre capacità di imaging a nuovi livelli

20

m2

INSTALLAZIONE COMPATTA

Grazie al suo design intelligente, può essere installato in uno spazio ridotto.

<3

kW

BASSI COSTI DI ESERCIZIO

E a basso consumo energetico.

8

x

FINO A 8 BOBINE

Ampia scelta di bobine RF.

1
INTERFACCIA UTENTE DEDICATA PER L’USO VETERINARIO

Per ottimizzare il flusso di lavoro.

Sistema RM Magnifico Vet, interfaccia utente dedicata
OTTIMIZZAZIONE DEL FLUSSO DI LAVORO

Interfaccia utente dedicata

Magnifico Vet offre un'interfaccia utente dedicata, progettata per l'ottimizzazione del flusso di lavoro, e include una scelta di bobine RF e di protocolli di esame personalizzati per le diverse regioni anatomiche, consentendo un'esecuzione facile ed efficiente dell'esame. Le sequenze e i protocolli di scansione possono essere personalizzati in base alle preferenze dell'utente, offrendo ai veterinari la flessibilità necessaria per adattare il sistema alle loro specifiche esigenze diagnostiche.

Sistema RM Magnifico Vet, posizionamento facile e veloce
POSIZIONAMENTO FACILE E VELOCE

Facile accesso per l’operatore e pratico posizionamento dell’animale

La struttura aperta e il grande tavolo di esame garantiscono un posizionamento facile e veloce di animali di tutte le dimensioni. Il design e le dimensioni uniche del sistema consentono di utilizzare la propria apparecchiatura per anestesia, integrandola in modo semplice e intuitivo. L'accesso agevolato è una delle caratteristiche distintive di Magnifico™ Vet, che lo rendono il sistema ideale per animali di tutte le dimensioni. L'ampia apertura e il magnete compatto consentono un facile accesso al paziente.

Immagini cliniche

Piccoli animali
Magnifico Vet - Lombosacrale colonna, trasversale colonna echo
Magnifico Vet - Trasversale colonna cervicale FSET2
Magnifico Vet - Trasversale colonna cervicale 3Dhyce
Magnifico Vet - Grascella GET2
Magnifico Vet - Grascella SPED
Magnifico Vet - Grascella XBONE
Magnifico Vet - Cervicale SET1
Magnifico Vet - Cervicale FSET2
Magnifico Vet - Lombosacrale 3D SST1
Magnifico Vet - Toracolombare FSET2
Magnifico Vet - Toracolombare SET1
Magnifico Vet - Lombosacrale FSET1
Magnifico Vet - Lombosacrale FSET2
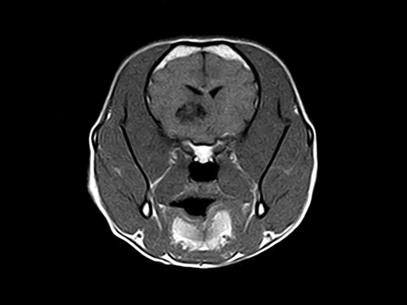
Magnifico Vet - Testa FSET2 02
Magnifico Vet - Testa FSET2 01
Magnifico Vet - Testa GET - Star
Magnifico Vet - Testa 3D SSTI 02
Magnifico Vet - Testa 3D SSTI 01
Magnifico Vet - Testa FFLAIR 02
Magnifico Vet - Testa FFLAIR 01
Magnifico Vet - Set testa postc
Magnifico Vet - Set testa

Bobine di RM veterinaria

Bobina colonna Large 4 canali
Bobina colonna Large 4ch

Bobina colonna 4ch per razze di grande taglia

Bobina testa
Bobina testa aperta DPA

Bobina DPA per testa e colonna di razze di taglia media

Bobina testa Large
Bobina testa Large DPA

Bobina DPA per testa e colonna di razze di grande taglia

Bobina parti piccole
Bobina DPA per parti piccole Magnifico Vet

Bobina testa DPA per razze di piccola taglia ed estremità

Bobina colonna
Bobina colonna lineare Magnifico Vet

Bobina lineare per testa e colonna di razze di taglia media

Bobina DPA piccoli animali
Bobine testa Small DPA

Bobina lineare per testa e colonna di razze di piccola taglia

Bobina-colonna-DPA
Bobina colonna DPA

Bobina colonna DPA per razze di grande taglia

Bobina colonna Large 4 canali
Bobina colonna Large 4ch

Bobina colonna 4ch per razze di grande taglia

Bobina testa
Bobina testa aperta DPA

Bobina DPA per testa e colonna di razze di taglia media

Bobina testa Large
Bobina testa Large DPA

Bobina DPA per testa e colonna di razze di grande taglia

Bobina parti piccole
Bobina DPA per parti piccole Magnifico Vet

Bobina testa DPA per razze di piccola taglia ed estremità

Bobina colonna
Bobina colonna lineare Magnifico Vet

Bobina lineare per testa e colonna di razze di taglia media

Bobina DPA piccoli animali
Bobine testa Small DPA

Bobina lineare per testa e colonna di razze di piccola taglia

Bobina-colonna-DPA
Bobina colonna DPA

Bobina colonna DPA per razze di grande taglia

Servizio clienti

Esaote, assistenza tecnica a distanza

ASSISTENZA TECNICA A DISTANZA

I parametri e componenti del sistema possono essere controllati tramite il programma di assistenza remota.

Esaote, aggiornamento RM

AGGIORNAMENTI

Rimanere al passo con i progressi della tecnologia è importante per essere operativi più rapidamente.

Esaote, assistenza inclusa

SERVIZIO DI ASSISTENZA

Dovete concentrarvi solo sull'attività diagnostica. Ci occupiamo noi del vostro sistema.

Dettagli del prodotto

Brochure

Dichiarazioni di conformità Dicom

MANUALE - EIFU

Brochure

Dichiarazioni di conformità Dicom

MANUALE - EIFU

La tecnologia e le caratteristiche variano in funzione del dispositivo/della configurazione. Specifiche soggette a variazioni senza preavviso. Le informazioni potrebbero fare riferimento a prodotti o modalità non ancora approvati in tutti i paesi. Le immagini dei prodotti sono a puro scopo informativo. Per ulteriori informazioni, contattare il rappresentante locale di Esaote.

Sistemi correlati

Contatta direttamente la rete di vendita o il distributore


Desideri ricevere un preventivo? Contattaci e ti indicheremo la soluzione migliore.

Rimani aggiornato sul mondo Esaote

Non perdere l'opportunità di restare aggiornato sui prossimi eventi, sulle risorse di formazione e su tutte le novità di Esaote.

È necessario effettuare l’accesso per visualizzare questa risorsa.
Vai alla pagina di accesso