Veterinary MRI clinical images
We are committed to providing cutting-edge diagnostic solutions for veterinary practices. Our veterinary diagnostic MRI systems are renowned for producing high-resolution MRI clinical images that offer veterinarians invaluable insights into the health and condition of their patients.
With a focus on delivering diagnostic outcomes of exceptional quality, our MRI systems empower veterinarians to make informed decisions with confidence. By providing imaging results with a very high diagnostic added value, we contribute to enhancing the accuracy and efficacy of diagnoses, ultimately improving the care, condition, and quality of life for animals under their supervision.
Explore our collection of veterinary MRI clinical images and witness firsthand how our technology is revolutionizing veterinary diagnostics, leading to better outcomes for our furry and feathered friends.
Filter by application
Filter by product
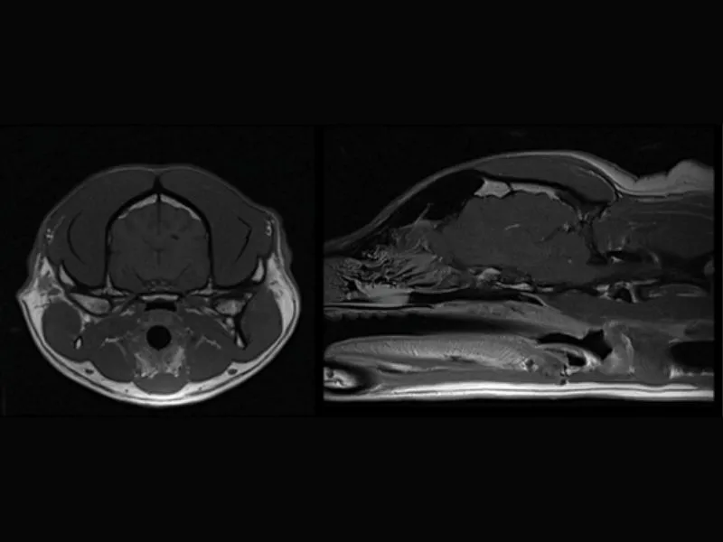
Supreme vet-mr – Transverse and sagittal T1W images of a normal canine brain
Supreme vet-mr – Transverse and sagittal T1W images of a normal canine brain
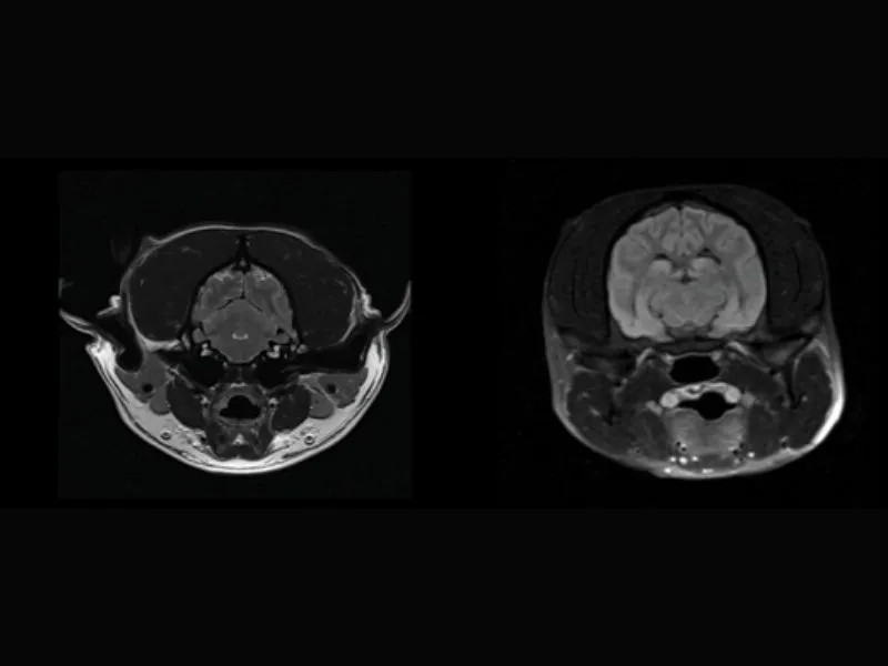
Supreme vet-mr – Transverse T2W and FLAIR sequence of a normal canine brain
Supreme vet-mr – Transverse T2W and FLAIR sequence of a normal canine brain
Supreme vet-mr – High resolution Dorsal and Sagittal T2W slices
Supreme vet-mr – High resolution Dorsal and Sagittal T2W slices
Supreme vet-mr – DWI of a cerebral infarction in a dog
Supreme vet-mr – DWI of a cerebral infarction in a dog
Supreme vet-mr – Dorsal T1W slices with Contrast Uptake in two dogs with pathological brain
Supreme vet-mr – Dorsal T1W slices with Contrast Uptake in two dogs with pathological brain
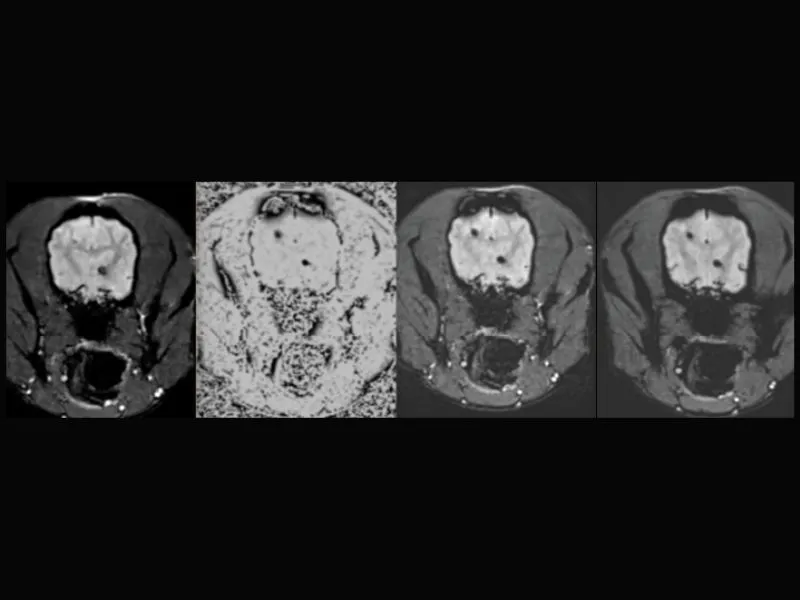
Supreme vet-mr – SWI sequence of a dog brain: Magnitude, Phase, mIP
Supreme vet-mr – SWI sequence of a dog brain: Magnitude, Phase, mIP
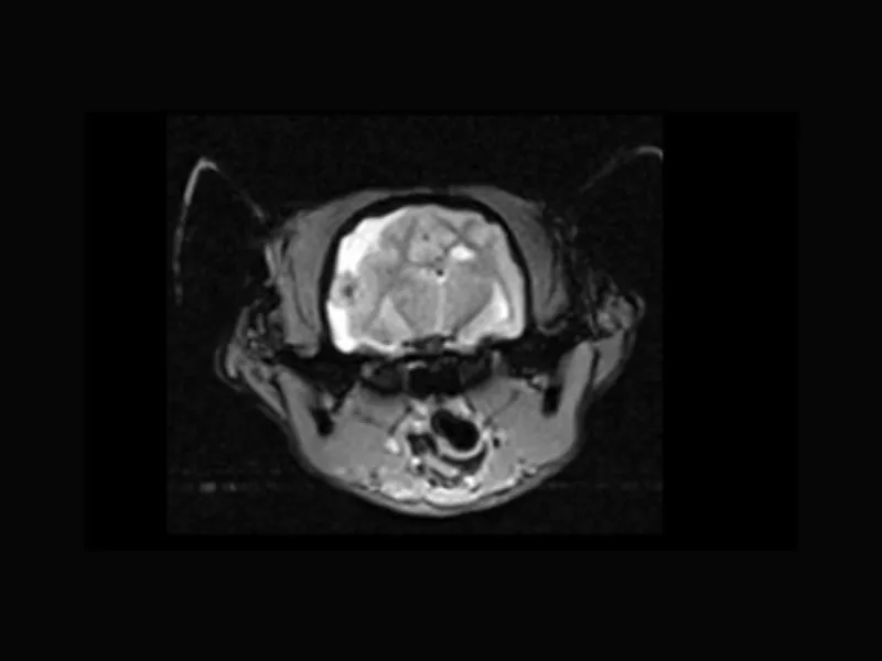
Supreme vet-mr – Transverse T2* weighted GE of parietal meningioma in cat
Supreme vet-mr – Transverse T2* weighted GE of parietal meningioma in cat
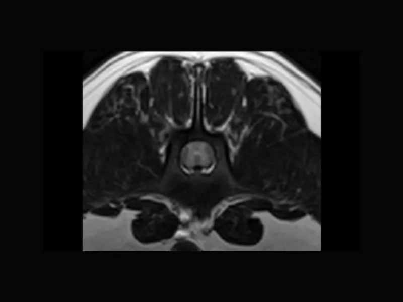
Supreme vet-mr – High resolution transverse T2W of a dog with spinal cord pathology
Supreme vet-mr – High resolution transverse T2W of a dog with spinal cord pathology
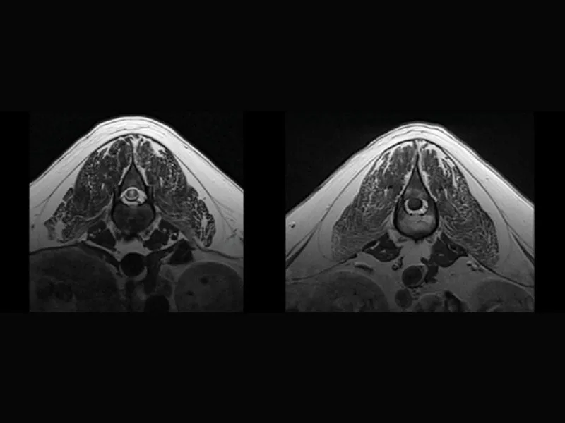
Supreme vet-mr – High resolution transverse T2W and FLAIR sequence of a large dog
Supreme vet-mr – High resolution transverse T2W and FLAIR sequence of a large dog
Supreme vet-mr – Sagittal T2W and WFST2 of feline L2 vertebral angiomatosis
Supreme vet-mr – Sagittal T2W and WFST2 of feline L2 vertebral angiomatosis
Supreme vet-mr – Multiple protruding discs in thoracolumbar, T1W and T2W slices
Supreme vet-mr – Multiple protruding discs in thoracolumbar, T1W and T2W slices
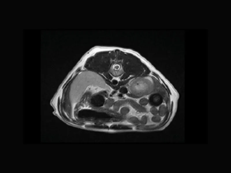
Supreme vet-mr – T2W of canine abdomen with respitarory gating
Supreme vet-mr – T2W of canine abdomen with respitarory gating
Supreme vet-mr – Transverse T2W with “Propeller” technique
Supreme vet-mr – Transverse T2W with “Propeller” technique
Supreme vet-mr – Abdominal imaging of medium dog with balanced SSFP sequence
Supreme vet-mr – Abdominal imaging of medium dog with balanced SSFP sequence
Supreme vet-mr – Sagittal and Transverse T2W of canine abdomen with body coil
Supreme vet-mr – Sagittal and Transverse T2W of canine abdomen with body coil
Supreme vet-mr – Abdominal T2W image of dog with spine coil
Supreme vet-mr – Abdominal T2W image of dog with spine coil
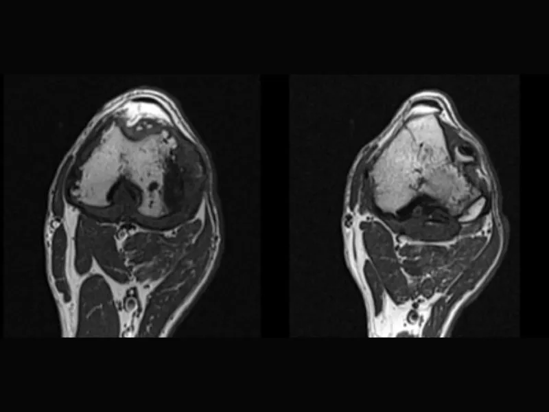
Supreme vet-mr – Sagittal and Dorsal FatSatPD in a dog stifle with meniscal rupture
Supreme vet-mr – Sagittal and Dorsal FatSatPD in a dog stifle with meniscal rupture
Supreme vet-mr – Arthritis of the canine stifle joint, Transverse T1W slices
Supreme vet-mr – Arthritis of the canine stifle joint, Transverse T1W slices
Supreme vet-mr – WFST of a shoulder with humeral periostitis
Supreme vet-mr – WFST of a shoulder with humeral periostitis
Vet-MR Grande ELITE – Stifle Sagittal FSE PD
Vet-MR Grande ELITE – Stifle Sagittal FSE PD
Vet-MR Grande ELITE – Stifle Dorsal Gradient Echo STIR
Vet-MR Grande ELITE – Stifle Dorsal Gradient Echo STIR
Vet-MR Grande ELITE – 03
Vet-MR Grande ELITE – 03
Vet-MR Grande ELITE – 02
Vet-MR Grande ELITE – 02
Vet-MR Grande ELITE – 01
Vet-MR Grande ELITE – 01
Vet-MR Grande ELITE – Brain3 Dorsal Fast FLAIR
Vet-MR Grande ELITE – Brain3 Dorsal Fast FLAIR
Vet-MR Grande ELITE – Brain2 Transeverse FSE T2
Vet-MR Grande ELITE – Brain2 Transeverse FSE T2
Vet-MR Grande ELITE – Brain2 Dorsal 3D SST1
Vet-MR Grande ELITE – Brain2 Dorsal 3D SST1
O-scan VET – FSE T2 Dorsal Lesion of the collateral ligaments of the coffin joint
O-scan VET – FSE T2 Dorsal Lesion of the collateral ligaments of the coffin joint
O-scan VET – FSE T2 Axial Lesion of the collateral ligaments of the coffin joint
O-scan VET – FSE T2 Axial Lesion of the collateral ligaments of the coffin joint
O-scan VET – STIR Sag Lesion of the collateral ligaments of the coffin joint
O-scan VET – STIR Sag Lesion of the collateral ligaments of the coffin joint
O-scan VET – FSE T2 Sagittal Lesion of the collateral ligaments of the coffin joint
O-scan VET – FSE T2 Sagittal Lesion of the collateral ligaments of the coffin joint
O-scan VET – 3D T1 Sagittal Fetlock Arthropathy
O-scan VET – 3D T1 Sagittal Fetlock Arthropathy
O-scan VET – STIR Axial-Fetlock Arthropathy
O-scan VET – STIR Axial-Fetlock Arthropathy
O-scan VET – FSE PD Axial Fetlock Arthropathy
O-scan VET – FSE PD Axial Fetlock Arthropathy
O-scan VET – FSE T2 Axial Fetlock Arthropathy
O-scan VET – FSE T2 Axial Fetlock Arthropathy
Vet-MR Grande – 3DHyce Dorsal Dog thoracolumbar
Vet-MR Grande – 3DHyce Dorsal Dog thoracolumbar
Vet-MR Grande – 3DSST1 Dorsal Neurocranium neoplasia
Vet-MR Grande – 3DSST1 Dorsal Neurocranium neoplasia
Vet-MR Grande – FSE T2 Sagittal Thoracolumbar spinal neoplasia
Vet-MR Grande – FSE T2 Sagittal Thoracolumbar spinal neoplasia
Vet-MR Grande – GE STIR Sagittal Elbow
Vet-MR Grande – GE STIR Sagittal Elbow
Vet-MR Grande – GE T2 Dorsal Dog neurocranium hemorrhage
Vet-MR Grande – GE T2 Dorsal Dog neurocranium hemorrhage
Vet-MR Grande – FSE T2 sagittal Cat spinal neoplasia C8_C4
Vet-MR Grande – FSE T2 sagittal Cat spinal neoplasia C8_C4
Vet-MR Grande – FSE T2 Dorsal Dog cerebellar hemorrhagic infarction
Vet-MR Grande – FSE T2 Dorsal Dog cerebellar hemorrhagic infarction
Vet-MR Grande – GE STIR sagittal Dog knee acl fracture
Vet-MR Grande – GE STIR sagittal Dog knee acl fracture
Vet-MR Grande – T1 Transverse Dog cervical thoracic pulpy extrusion
Vet-MR Grande – T1 Transverse Dog cervical thoracic pulpy extrusion
Vet-MR Grande – FSE T2 sagittal Dog cervical discal extrusion C4 C5 C6
Vet-MR Grande – FSE T2 sagittal Dog cervical discal extrusion C4 C5 C6
G-scan equine – TSE T2 Sagittal Carpus
G-scan equine – TSE T2 Sagittal Carpus
G-scan equine – STIR Sag Carpus
G-scan equine – STIR Sag Carpus
G-scan equine – SE T1 Transverse Carpus
G-scan equine – SE T1 Transverse Carpus
G-scan equine – 3D GE T1 Sagittal Carpus
G-scan equine – 3D GE T1 Sagittal Carpus
G-scan equine – FSE T2 Sagittal Fetlock
G-scan equine – FSE T2 Sagittal Fetlock
G-scan equine – FSE T2 Transverse Fetlock
G-scan equine – FSE T2 Transverse Fetlock
G-scan equine – GE STIR Sagittal Hock
G-scan equine – GE STIR Sagittal Hock
G-scan equine – SST2 Sagittal Hock
G-scan equine – SST2 Sagittal Hock
G-scan equine – FSE T2 Sagittal Splancnochranium
G-scan equine – FSE T2 Sagittal Splancnochranium
G-scan equine – FSE T2 Transversal Splanchnocranium
G-scan equine – FSE T2 Transversal Splanchnocranium
G-scan equine – STIR Sagittal Pastern
G-scan equine – STIR Sagittal Pastern
G-scan equine – PD-T2 Transversal Pastern
G-scan equine – PD-T2 Transversal Pastern
G-scan equine – GE 3D T1 Axial MPR Splanchnocranium
G-scan equine – GE 3D T1 Axial MPR Splanchnocranium
G-scan equine – GE 3D T1 Dorsal Splanchnocranium
G-scan equine – GE 3D T1 Dorsal Splanchnocranium
G-scan equine – SE PD Dorsal Stifle
G-scan equine – SE PD Dorsal Stifle
G-scan equine – 3D Sharc Transverse Stifle
G-scan equine – 3D Sharc Transverse Stifle
Magnifico Vet – SE T1 Transverse Neurocranium pre contrast
Magnifico Vet – SE T1 Transverse Neurocranium pre contrast
Magnifico Vet – SE T1 Transverse Neurocranium post contrast
Magnifico Vet – SE T1 Transverse Neurocranium post contrast
Magnifico Vet – Fast FLAIR Dorsal Neurocranium
Magnifico Vet – Fast FLAIR Dorsal Neurocranium
Magnifico Vet – Fast FLAIR Dorsal Neurocranium
Magnifico Vet – Fast FLAIR Dorsal Neurocranium
Magnifico Vet – 3D SST1 Dorsal Neurocranium
Magnifico Vet – 3D SST1 Dorsal Neurocranium
Magnifico Vet – 3D SST1 Dorsal Neurocranium
Magnifico Vet – 3D SST1 Dorsal Neurocranium
Magnifico Vet – GE T2* Transverse Neurocranium
Magnifico Vet – GE T2* Transverse Neurocranium
Magnifico Vet – FSE T2 Transverse Neurocranium
Magnifico Vet – FSE T2 Transverse Neurocranium
Magnifico Vet – FSE T2 Sagittal Neurocranium
Magnifico Vet – FSE T2 Sagittal Neurocranium
Magnifico Vet – FSE T2 Sagittal Lumbosacral
Magnifico Vet – FSE T2 Sagittal Lumbosacral
Magnifico Vet – FSE T1 Transverse Lumbosacral
Magnifico Vet – FSE T1 Transverse Lumbosacral
Magnifico Vet – SE T1 Sagittal Thoracolumbar
Magnifico Vet – SE T1 Sagittal Thoracolumbar
Magnifico Vet – FSE T2 Sagittal Thoracolumbar
Magnifico Vet – FSE T2 Sagittal Thoracolumbar
Magnifico Vet – FSTIR Dorsal Thoracolumbar
Magnifico Vet – FSTIR Dorsal Thoracolumbar
Magnifico Vet – 3D SST1 Dorsal Lumbosacral
Magnifico Vet – 3D SST1 Dorsal Lumbosacral
Magnifico Vet – FSE T2 Sagittal Cervical
Magnifico Vet – FSE T2 Sagittal Cervical
Magnifico Vet – SE T1 Sagittal Cervical
Magnifico Vet – SE T1 Sagittal Cervical
Magnifico Vet – XBONE Dorsal Stifle
Magnifico Vet – XBONE Dorsal Stifle
Magnifico Vet – SPED Dorsal Stifle
Magnifico Vet – SPED Dorsal Stifle
Magnifico Vet – GE STIR Sagittal Stifle
Magnifico Vet – GE STIR Sagittal Stifle
Magnifico Vet – 3DHyce Transverse Cervical spine
Magnifico Vet – 3DHyce Transverse Cervical spine
Magnifico Vet – FSE T2 Transverse Cervical spine
Magnifico Vet – FSE T2 Transverse Cervical spine
Magnifico Vet – SE T1 Transverse – Lumbosacral
Magnifico Vet – SE T1 Transverse – Lumbosacral
Need help or support?
Do you need help choosing a product, do you want to request a maintenance service or contact the sales network? Our team is at your disposal for any type of support.