Supreme Vet-MR 1.5T MRI system
Magnetic Resonance
Supreme Vet-MR

The revolutionary Supreme vet-mr is our first 1.5 Tesla MRI system dedicated to veterinary, crafted in partnership with veterinary luminaries offering incomparable insights to deliver an accurate diagnosis. Thanks to the customized veterinary software and the dedicated interface, this MRI powerhouse is the solution veterinarians can rely on to increase efficiency, improve productivity, and maximize diagnostic output.

Supreme imaging tailored for pets

60 cm

Short bore diameter magnet for small animals.

NEAR-ZERO LOSS

Boil-off technology.

7X MULTI-CHANNEL COILS

Comprehensive coils solutions, free coil combination.

LARGE FIELD OF VIEW

No patient re-positioning.

TAILORED FOR VETERINARY PROFESSIONALS

Short bore opening and a comfortable patient table for the operator

From the straightforward animal positioning to data input using Supreme vet-mr user-friendly interface, performing MRI scans has never been more effortless. Supreme vet-mr is designed for operation by a single operator. An extensive collection of protocols, collaboratively crafted with veterinary experts, designed specifically for animals of varying types and sizes.

ELEVATE YOUR VETERINARY DIAGNOSTICS

A solution tailored to the unique needs of your patients

Experience the cutting-edge Supreme vet-mr, offering a comprehensive range of specialized RF coils equipped with state-of-the-art multi-channel technology. Meticulously crafted to perfectly fit the diverse anatomies of various animal sizes and breeds, Supreme vet-mr coils ensure precision and optimal imaging quality.

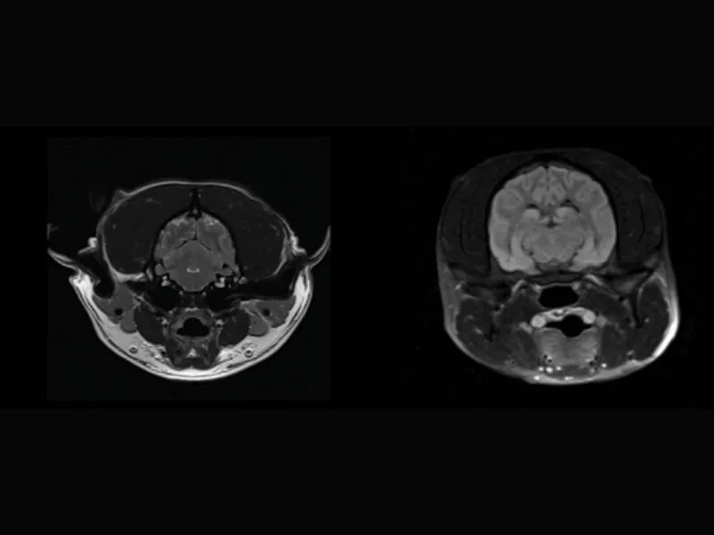
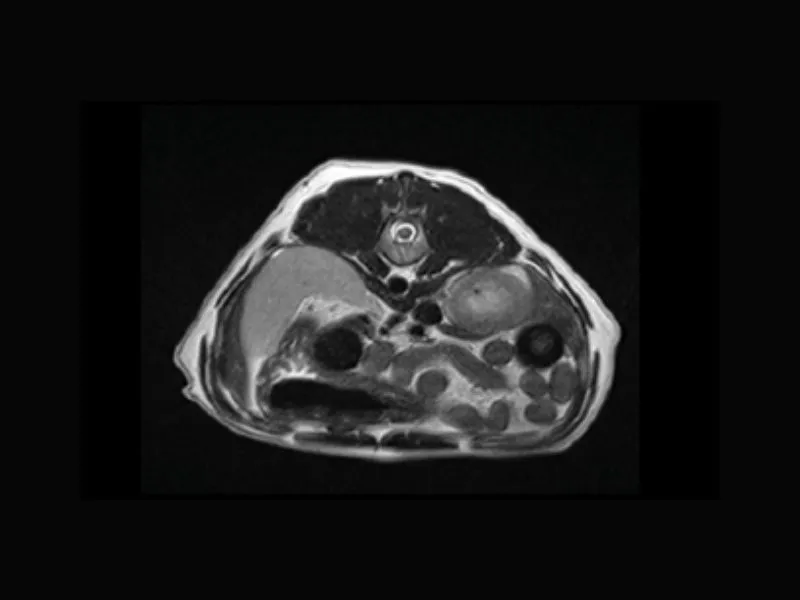
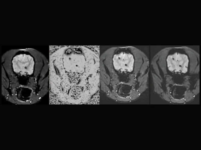
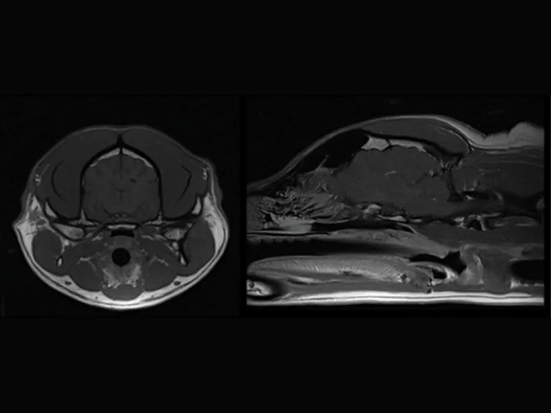
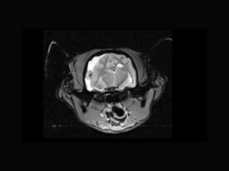
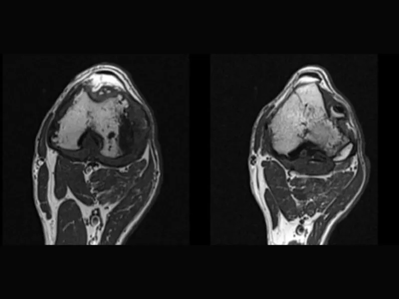
Clinical images

Small animals

Vet MRI Coils

Small head coil
Flexible coil
Head coil
Large Head coil
Neck-thorax coil
Spine coil
Body coil
Small head coil

Flexible coil

Head coil

Large Head coil

Neck-thorax coil

Spine coil

Body coil

Customer service

Esaote, remote technical support

REMOTE TECHNICAL SUPPORT

System parameters and components can be checked via the remote service program.

Esaote, MRI upgrade

UPGRADE

Keep up with technology advances is important to get you up and running faster.

Esaote, service coverage

SERVICE COVERAGE

You have to focus only on diagnostic activity. We'll take care of your system.

Product details

Brochure

Dicom Conformance Statements

Brochure

Dicom Conformance Statements

Technology and features are device/configuration-dependent. Specifications subject to change without notice. Information might refer to products or modalities not yet approved in all countries. Product images are for illustrative purposes only. For further details, please contact your Esaote sales representative.

Related Systems

Contact direct sales network or distributor


Do you want to receive a quote? Contact us and you will be redirected to the best solution.

Stay updated on Esaote's world

Don't miss the opportunity to stay updated on upcomings events, educational resources, and all latest from Esaote.

Login required to access this resource.
Go to login page