Ultrasound

The precise VET ultrasound portable system

Its strength, durability, and precision make the MyLab™Falcon portable veterinary ultrasound system a powerful tool for healthcare professionals, capable of delivering diagnostic solutions in any environment. It leads the way in cutting-edge medical technology, giving you the freedom and power to diagnose with unmatched accuracy and speed, anywhere. MyLab™Falcon offers advanced features for fast, reliable diagnoses. Its intuitive, cleanable interface ensures ease of use, while full connectivity allows seamless integration into any workflow.

Ascend to performance

HIGH RESOLUTION 15.6’’ MAIN SCREEN

Large adjustable/flexible monitor with superior detail enhancement and full-screen mode.

ULTRAWIDE 15” TOUCHSCREEN

Wide touchscreen with digital TGC for uncompromising ease of use.

EXCLUSIVE EASY-TO-CLEAN TOUCH PANEL

Cleanable panel built to last over time with a sensitive touchpad to maximize your device control. 

2 ACTIVE CONNECTORS

2 onboard transducer connectors for immediate probe switching, up to 4 with the cart configuration*.

* Optional

Technologies

The long-term experience in Ultrasound R&D has enabled us to expand technological potential and explore unexplored horizons: the result is pure innovation.

 

ACCURACY TO SUPPORT YOUR DIAGNOSIS

Falcon accuracy, A.I.‑driven workflow

Like the Falcon’s sharp vision and instinct for swift, precise hunting, the A.I.‑based algorithms in the MyLab™Falcon system rapidly analyze imaging data with accuracy to support your diagnosis, by automating tasks and speeding up your workflow. 

IDEAL FOR ANY SETTING

Designed for mobility

MyLab™Falcon is built for mobility, with a compact laptop-style design that fits even the tightest spaces. Easily transported on a slim, smart cart or carried using its handle, it’s ideal for any setting. For travel, choose between a practical case or backpack—perfect for multi-site use. To protect your MyLab™Falcon during transportation and to guard it against potential shocks, we crafted an exclusive customizable silicone bumper. If you need extra durability, the rugged case offers unmatched strength. Engineered for the harshest environments, this robust cover ensures superior protection against drops, scratches, and other physical stress, making it the perfect choice for demanding conditions.

ACCURACY IN PATIENTS OF ALL SIZES

Precision by engineering

The accuracy and precision of the falcon is achieved through XCrystal technology, which increases sensitivity and penetration to deliver sharper images and homogeneity in patients of all sizes. The new mCX 3-12 probe offers exceptional penetration and clarity, allowing seamless scanning across patients of all sizes — from the tiniest companions to larger animals. The new PX 2-9 probe delivers unparalleled image quality, enabling precise heart examinations with ease.

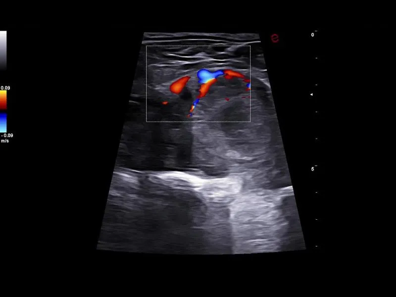
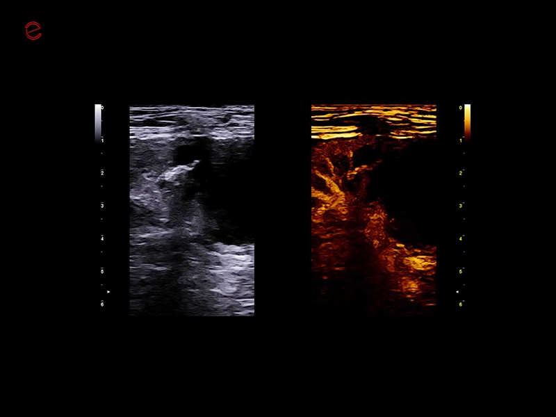
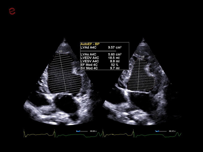
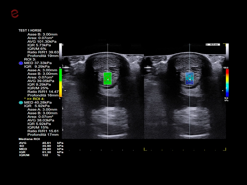
Clinical Images

Small animals Equine

Product probes

C2-9 vet probe
C 2-9
SE3133 vet probe
E 3-12
IL4-13 vet probe
IL 4-13
P2-9 vet probe
P 2-9
P2-5-13 vet probe
P2 5-13
PX1-5 vet probe
PX 1-5
SB2C41 vet probe
SB 2C41
IOT-342 vet probe
IOT 342
L3-11 vet probe
L 3-11
LX3-15 vet probe
LX 3-15
L8-24 vet probe
L 8-24
mC3-11 vet
mC 3-11
SV3513 vet probe
SV 3513
TE3-8 vet probe
TE 3-8
TLC3-13 vet probe
TLC 3-13
SI 2C41
2CWL
2CWL
IHX - 6-25 Vet Probe
IHX 6-25
VC2-9
mCX 3-12
PX 2-9
PX 4-13 probe
PX 4-13
C2-9 vet probe
C 2-9

SE3133 vet probe
E 3-12

IL4-13 vet probe
IL 4-13

P2-9 vet probe
P 2-9

P2-5-13 vet probe
P2 5-13

PX1-5 vet probe
PX 1-5

SB2C41 vet probe
SB 2C41

IOT-342 vet probe
IOT 342

L3-11 vet probe
L 3-11

LX3-15 vet probe
LX 3-15

L8-24 vet probe
L 8-24

mC3-11 vet
mC 3-11

SV3513 vet probe
SV 3513

TE3-8 vet probe
TE 3-8

TLC3-13 vet probe
TLC 3-13

SI 2C41

2CWL
2CWL

IHX - 6-25 Vet Probe
IHX 6-25

VC2-9

mCX 3-12

PX 2-9

PX 4-13 probe
PX 4-13

Customer service

Esaote, remote technical support

REMOTE TECHNICAL SUPPORT

System parameters and components can be checked via the remote service program.

Esaote, probe coverage

PROBE COVERAGE

We provide coverage for all standard probes with no annual limits.

Esaote, 3 years service coverage

3 YEARS OF WARRANTY

Essential protection to keep your investment running safely.*

*Conditions for service coverage may vary depending on your country

Product details

Documentation - Brochure / DICOM

Technical Specifications

Documentation - Brochure / DICOM

Technical Specifications

MyLab is a trademark of Esaote spa. Technology and features are device/configuration-dependent. Specifications subject to change without notice. Information might refer to products or modalities not yet approved in all countries. Product images are for illustrative purposes only. For further details, please contact your Esaote sales representative.

Related Systems

Contact direct sales network or distributor


Do you want to receive a quote? Contact us and you will be redirected to the best solution.

Stay updated on Esaote's world

Don't miss the opportunity to stay updated on upcomings events, educational resources, and all latest from Esaote.

Login required to access this resource.
Go to login page